
Sonrisas Nuevas
Prótesis dentales de alta calidad y confianza.
PROTESIS TOTAL ACRILICA (alto impacto) (garantía 2 años )
características principales :mayor resistencia: poseen una resistencia superior a caídas y a las fuerzas de masticación en comparación con las prótesis acrílicas tradicionales. mejor estética: tienen una translucidez que les confiere una apariencia natural, parecida a la de los tejidos bucales reales. durabilidad: mantienen su color y no sufren pigmentación con el tiempo, incluso expuestas a la temperatura corporal. adaptación: están diseñadas para ajustarse de forma precisa a las encías del paciente, minimizando puntos de presión. manipulación y fabricación: se moldean en formas complejas utilizando calor y presión. el proceso de polimerización requiere mezclar el polímero (acrílico tríplex de alto impacto) con un líquido (monómero de termo polimerizable) específico, y luego aplicar calor y presión. Reparabilidad: son reparables y se pueden rebasar si es necesario. versatilidad: se pueden utilizar para restauraciones completas o parciales.
Una prótesis acrílica dental de alto impacto es una prótesis removible más duradera y resistente a fracturas que las convencionales, gracias a una formulación de resina acrílica mejorada. Está diseñada para resistir mayores fuerzas de masticación y golpes, ofreciendo rehabilitar la función, estética y fonética del paciente. Su fabricación requiere calor y presión, lo que permite moldearla con precisión para un ajuste natural, con un acabado que imita la translucidez de los tejidos bucales




PROTESIS PARCIAL (Temporal y transicional
(sin garantía)
una prótesis acrílica dental temporal o transicional : es un reemplazo provisional de acrílico que se coloca inmediatamente después de la extracción de dientes o mientras se espera la prótesis definitiva. su propósito es restaurar la estética y la función de la boca, permitiendo al paciente masticar (con restricciones), proteger el espacio vacío y mantener la autoestima mientras la boca se recupera y se fabrica la prótesis permanente. suelen fabricarse con acrílico y se diseñan para parecerse a los dientes naturales en forma, tamaño y color, aunque pueden tener diferencias de textura con respecto a una prótesis permanente
Características y funciones Función temporal: Diseñada para ser usada por un periodo corto, generalmente de dos a tres meses, hasta que se obtenga la prótesis definitiva. Estética inmediata: Proporciona una apariencia natural que cubre los huecos dejados por los dientes ausentes, evitando así la inseguridad del paciente. Protección y estabilidad: Ayuda a mantener el espacio entre los dientes y puede ofrecer estabilidad a la zona. Función masticatoria: Permite la masticación, aunque con algunas limitaciones.




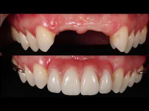
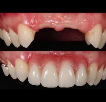
PRÓTESIS TIPO ACKERS ( DE 1 A 4 DIENTES CON GARANTÍA 1 AÑO )
Realizamos:
Prótesis tipo ackers (de 1 a 4 dientes con garantía de 1 año)
Una prótesis flexible tipo Acker es una prótesis dental removible y parcial, hecha de materiales como el nailon o el termoplástico, que se caracteriza por su flexibilidad, comodidad y aspecto natural. A diferencia de las prótesis tradicionales, no usa ganchos de metal visible, sino que se adapta y fija en las encías, proporcionando un aspecto más estético y menos invasivo. BeneficiosSon una opción cómoda y de rápida adaptación. Tienen un excelente resultado estético al no presentar ganchos de metal. Son resistentes a golpes y caídas, lo que prolonga su vida útil. No generan reacciones alérgicas, ya que el material es hipoalergénico. ConsideracionesA pesar de ser flexibles, es necesario un periodo de adaptación inicial y pueden requerir ajustes.Deben mantenerse limpias con una rutina de higiene adecuada para evitar problemas.
Características principalesMaterial flexible: Están fabricadas con resinas especiales, como el nailon o polímeros termoplásticos, lo que las hace más cómodas y menos invasivas. Estética natural: El material es semitranslúcido y toma el color de las encías, lo que las hace casi invisibles y muy naturales. Ausencia de ganchos metálicos: No usan ganchos de metal, lo que mejora la estética y elimina el riesgo de corrosión y alergias a ciertos metales. Adaptación y fijación: Se fijan de manera más suave a las encías, evitando la presión sobre los dientes de soporte y resultando más amigables con los tejidos orales. Ligereza y comodidad: Su diseño ligero y flexible las hace muy cómodas y fáciles de adaptar para la masticación y el habla. Reemplazo parcial: Se utilizan principalmente para sustituir uno o varios dientes perdidos, máximo tres dientes adyacentes.




PROTESIS FLEXIBLE PARCIAL ( GARANTIA 2 AÑOS )
Una prótesis parcial flexible :es una solución removible para reemplazar uno o varios dientes faltantes, hecha de materiales termoplásticos como el nylon, que la hacen flexible y cómoda. Su característica principal es que no necesita ganchos metálicos para sujetarse, ya que se integra de forma estética y natural con los dientes y encías existentes. Es ideal para pacientes que buscan una alternativa más natural, pero su durabilidad puede ser menor que la de otras prótesis y no es adecuada para todos los casos, especialmente para reemplazar grandes ausencias dentales. Durabilidad: Su durabilidad puede ser menor que otras prótesis, y el material puede mancharse con el tiempo por el consumo de ciertos alimentos y bebidas como el café, el vino o el tabaco. Mantenimiento: Requieren de revisiones y limpiezas regulares por parte del dentista para mantenerlas en buen estado. Limitaciones: No son ideales para reemplazar grandes cantidades de dientes faltantes o para casos con extensiones distales, ya que el material flexible puede desplazarse con la fuerza de la masticación. Reparación y modificación: No es posible añadir dientes adicionales a una prótesis ya hecha; si se necesita un diente extra, se debe reemplazar la prótesis completa.
Características Materiales: Se fabrican con polímeros termoplásticos como el nylon o el Dura Flex, que son flexibles, ligeros y cómodos. Estética: No utilizan ganchos de metal, sino que están diseñadas con la misma tonalidad de la encía, lo que las hace casi invisibles y de aspecto natural. Adaptación: Se adaptan fácilmente a la forma de los dientes y encías circundantes, ofreciendo una mejor integración y comodidad. Sujeción: Se sujetan a los dientes restantes y a la encía, y su estabilidad puede variar dependiendo de la cantidad de dientes naturales presentes. Removible: Se pueden quitar y poner para su limpieza y cuidado. Consideraciones importantes




REPARACIÓNES PRÓTESIS ACRILICAS
La reparación de prótesis acrílicas puede incluir la fijación de fracturas usando resinas acrílicas, el reemplazo de dientes caídos o desprendidos y el rebasado para mejorar el ajuste debido a la pérdida de tejido. Las reparaciones implican el envío de la prótesis al laboratorio, donde se limpian, se preparan las áreas dañadas y se utilizan materiales específicos para reconstruir la estructura antes de los ajustes finales en la boca del paciente. Ajuste: Una vez reparada, la prótesis se ajusta en la boca del paciente, verificando que la mordida sea correcta y que el ajuste sea cómodo. Consideraciones El tiempo de reparación varía según la gravedad del daño. Algunas reparaciones pueden durar solo unas horas, mientras que otras pueden requerir varios días. Si la prótesis ha sido rebasada más de dos veces, puede ser más conveniente considerar una prótesis nueva. No intente reparar una prótesis en casa, ya que puede empeorar el daño. Siempre debe acudir a un profesional.
Tipos de Reparación de fracturas: Se limpian las partes y se unen con cianocrilato para asegurar el ajuste, luego se aplica acrílico y se pule para disimular la unión y restaurar la integridad estructural. Reemplazo de dientes: Si un diente se cae, se crea un espacio para que se coloque el nuevo, se añade acrílico para fijarlo al resto de la prótesis. Rebasado: Es el proceso de reemplazar la base de la prótesis para mejorar el ajuste. Es necesario cuando la prótesis se afloja debido a los cambios en la forma de la mandíbula y las encías. Refuerzo: Se pueden añadir mallas de refuerzo en áreas debilitadas para evitar futuras fracturas. Proceso general Evaluación: El dentista evalúa la prótesis para determinar si puede repararse o si se necesita una prótesis nueva. Envío al laboratorio: La prótesis dañada se envía a un laboratorio dental para la reparación. Preparación: El laboratorio prepara las áreas fracturadas, repara o reemplaza las partes dañadas y/o añade nuevos materiales.




PLACAS DE BLANQUEAMIENTO
Características principales Materiales : Pueden ser de plástico transparente, blando y flexible, para mayor comodidad. Diseño: Existen dos tipos principales:Personalizadas: Se fabrican a partir de un molde dental del paciente para un ajuste perfecto y minimizar el riesgo de irritación de las encías. Universales/Pre-cargadas: Algunas son de talla única o vienen pre-cargadas con el gel, son más fáciles de usar pero menos precisas que las personalizadas. Función: Almacenan el gel y loCC mantienen en contacto con la superficie del diente, permitiendo que los agentes blanqueadores actúen sobre el esmalte. Gel: El gel blanqueador contiene agentes oxidantes como el peróxido de hidrógeno o el peróxido de carbamida. Algunos geles incorporan desensibilizantes como el nitrato de potasio o fluoruro de sodio para reducir la sensibilidad durante el tratamiento. Consideraciones importantesSupervisión profesional: El uso de estas placas debe ser supervisado por un dentista, quien determinará la concentración de gel y el tiempo de aplicación adecuados para cada caso. Adaptación y ajuste: Es fundamental que la placa se ajuste bien a la boca para evitar que el gel entre en contacto con las encías y cause irritación. Tiempo de tratamiento: Varía según el producto y la concentración del gel, pero suele durar de 1 a 3 semanas con aplicaciones diarias. Seguridad: Un ajuste adecuado y la supervisión profesional garantizan un tratamiento seguro y eficaz
las placas para blanqueamiento casero son fundas personalizadas o cubetas flexibles, hechas a medida a partir de moldes de los dientes del paciente, que se llenan con un gel blanqueador a base de peróxido de hidrógeno o de carbamida. estas placas permiten aplicar el gel uniformemente sobre los dientes para blanquearlos en casa, y el tiempo de uso depende de la concentración del gel y las indicaciones del dentista






Retenedores Dentales:
Mantén Tu Sonrisa Perfecta
Características principales Estéticas : Son transparentes y discretas, lo que las hace una opción muy estética para los pacientes. Resistentes: Están hechas de un material plástico que es lo suficientemente resistente para mantener los dientes en su lugar. Fácil de usar: Al ser removibles, los pacientes pueden quitarlos para comer y cepillarse, aunque es crucial seguir las indicaciones del ortodoncista sobre su uso.
Termoformables: Se fabrican termoformando láminas de acetato sobre un modelo dental, lo que permite crear un aparato que se ajusta perfectamente a la boca del paciente. Versátiles: Se utilizan también para otras aplicaciones, como alineadores, férulas delgadas, bandejas quirúrgicas y planos de mordida. Consideraciones importantesNo son para todos: El acetato no es ideal para pacientes con bruxismo (rechinamiento de dientes) severo, ya que puede fracturarse con facilidad. Mantenimiento: Deben guardarse en un estuche rígido cuando no se estén usando y limpiarse regularmente para evitar la acumulación de bacterias. Reacciones alérgicas: Aunque son libres de látex y BPA, es importante que pacientes con historial de alergias al plástico informen a su dentista.
Las placas retenedoras de acetato son aparatos de ortodoncia transparentes y removibles, también conocidos como retenedores Essix, hechos de una lámina de acetato termoformado. Son estéticos y se utilizan para mantener los dientes en su posición después de un tratamiento de ortodoncia, y se adaptan a los dientes usando una impresión dental de precisión. Son una buena opción para muchos pacientes por su apariencia discreta, pero no son adecuadas para quienes sufren de bruxismo.


Opiniones
Lo que dicen nuestros clientes
La calidad de las prótesis es excepcional, ¡recomiendo Tecnident!
Ana
Medellin
El servicio al cliente es increíble, siempre atentos a mis necesidades.
Luis
Cali
★★★★★
★★★★★
Galería
Descubre nuestras prótesis dentales










Preguntas Frecuentes
¿Qué servicios ofrecen?
Ofrecemos diseño y reparación de prótesis.
¿Cuánto tiempo tarda?
El tiempo varía según el tipo de prótesis.
Garantizamos calidad y biocompatibilidad.
¿Cómo contactarlos?
¿Tienen garantía?
Sí, ofrecemos garantía en nuestras prótesis.
Contacto
Estamos aquí para ayudarte
3108492776
© 2025. All rights reserved.
3015292918
